このページの先頭です
ここから本文です
  1. 平野若葉会病院TOP
  2. CT・MRI検査予約のご案内

CT・MRI検査予約のご案内Inspection reservation

当院では、医療機器(CT・MRI)の共同利用として、地域の医療機関様からのご紹介による患者様につきまして、事前にお電話によるご予約のお申し込みでCT・MRI検査の実施及び結果報告を行っております。
CT・MRI検査の結果は、当日画像データーを患者様にCD-Rとしてお渡しし、放射線科医による所見を後日(2~3日以内)FAXにてご連絡いたします。

※あくまでも医師、歯科医師によるお申し込みについてお受けするものであり、患者様ご自身、もしくはご家族様からのお申し込みについてはお受けいたしかねますのでご承知ください。

CT・MRI検査予約のご案内イメージ

CT・MRI検査 予約申し込み方法

電話予約

TEL.06-6799-1010

予約受付時間:平日 9:00〜20:00/土日祝 9:00〜17:00
※受診者の氏名/撮影部位/単純・造影をお伝えください

検査について

医療機関様

ご準備いただくもの
診療情報提供書(撮影部位・CT、MRIの区別・造影の有無など詳しくお願いします)
下記予約票をダウンロードの上ご利用ください。

CT用(PDF) MRI用(PDF) MRI検査問診票(兼同意書)(PDF) 造影検査を受けられる場合(PDF) 造影検査の問診票(PDF) ※造影検査ご予約の場合は、問診票に記入の上、予約時にFAXして下さい。
結果について
検査終了後、患者様にCD-Rをお渡しいたしますので、患者様からお受け取りください(返却の必要はございません)
所見については、2〜3日以内にFAXをお送りいたします。(もし2~3日以内に届かない場合は、お手数ですが当院までご連絡ください)
お問い合わせ先 : 06-6799-1010

患者様

ご準備いただくもの
  • ・医療機関様から預かった診療情報提供書
  • ・保険証(各種医療証)
前処置についてのお願い
  • 腹部CT・腹部MRI・造影検査の場合は食事制限があります。
    (検査が午前なら朝食、午後なら昼食は食べないでください。)
    水分(水・お茶)の制限はありませんが、ミルク・牛乳など乳製品は飲まないでください。
    腹部CT・骨盤MRI検査の場合は検査1時間前から排尿しないようにお願いします。
検査の流れ
  • ・検査予約時間の15分前(造影検査は30分前)にご来院ください。
  • ・病院受付にて診療情報提供書・保険証(各種医療証)をお出しください。
  • ・検査終了後、CD-Rを患者様にお渡しします。医療機関様にお渡しください。

CT画像

  • ct01
  • ct02
  • ct03
  • ct04

MRI画像

  • mri01
  • mri02
  • mri03
  • mri04

当院では下記の計測も行っております。お気軽にお声掛け下さい。

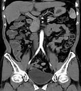
内脂肪測定

Fat Pointer
腹部CTを撮影したデーターより内臓脂肪値の計測ができます。
患者様に対してもわかりやすく色分けすることで、生活習慣病の診断に有用です。
  • イメージ
  • イメージ

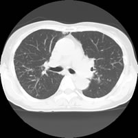
喫煙者向けの測定

Risk Pointer
胸部CTを撮影したデーターよりCOPD(慢性閉塞性肺疾患)の評価ができます。
LAA解析(Low Attenuation Areaの略で、低吸収領域を示す)により
LAA分布(CT画像上の黄色い部分=肺胞にダメージのある部分) がわかりやすく禁煙指導に有用です。
  • イメージ
  • イメージ